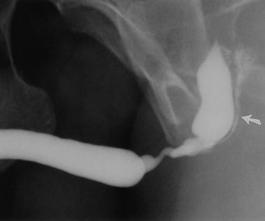
The Treatment of Urethral Stricture
Notice: Trying to access array offset on value of type null in /home/u9176434/en.uretradarligi.com/wp-content/plugins/js_composer/include/autoload/vc-shortcode-autoloader.php on line 64
Notice: Trying to access array offset on value of type null in /home/u9176434/en.uretradarligi.com/wp-content/plugins/js_composer/include/autoload/vc-shortcode-autoloader.php on line 64 Notice: Trying to access array offset on value of type null in /home/u9176434/en.uretradarligi.com/wp-content/plugins/js_composer/include/autoload/vc-shortcode-autoloader.php on line 64 The Treatment of Urethral Stricture The treatment of urethral stricture does not involve medications. It involves three surgical methods, which include dilation, endoscopic…






